¿El fotón es partible en dos mitades?

20.12.2021
Las mitades del fotón son como las dos caras de una moneda: Las dos partes distintas forman un todo, pero pueden describirse y actuar como estructuras separadas

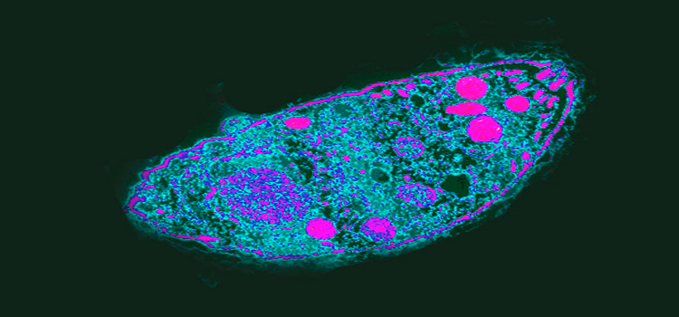
Un parásito que nos cambia

17.12.2021
El "Toxoplasma gondii" es un pequeño ser unicelular que vive en muchos de nuestros cuerpos y es capaz de modificar nuestra conducta

Cienciaterapia

17.12.2021
Un proyecto busca despertar las vocaciones científicas en niños y niñas pacientes de cáncer

Tres billones, con b

17.12.2021
La OMS advierte que la administración masiva de vacunas en los países ricos puede generar un enorme déficit en los países del Sur Global

El fin del universo

17.12.2021
Nuestras galaxias vivieron tiempos mejores y llevan “muriendo” miles de millones de años

El silencio de La Palma

17.12.2021
Después de 85 días de actividad, el volcán ha dado una tregua a los habitantes de la isla. Los científicos aún no saben si significa el final de la erupción

La teoría cuántica necesita números complejos

16.12.2021
Las predicciones de la teoría cuántica estándar no se formalizan bien con los números reales, sino que requieren de números complejos, aquellos que tienen una parte real y otra imaginaria