La célula es capaz de reconocer la presencia de diferentes ADN mitocondriales y seleccionar de forma específica aquellos dependiendo de cómo influyen en su estado metabólico
Una investigación realizada por investigadores del Centro Nacional de Investigadores Cardiovasculares (CNIC), describe los mecanismos responsables de la competencia entre genomas mitocondriales cuando conviven en la misma célula. El trabajo, publicado en Science Advances, ha estudiado por qué la presencia simultánea de más de un tipo de ADN mitocondrial en las células es rechazada por la mayoría de los tejidos, que seleccionan una única variante que es diferente según cada tejido.
El ADN mitocondrial es una parte del material genético, transmitido únicamente desde las madres a su descendencia. Los investigadores, coordinados por el Dr. José Antonio Enríquez, que dirige el laboratorio de Genética Funcional del Sistema de Fosforilación Oxidativa del CNIC, explican que el proceso de selección entre ADN mitocondriales que conviven en la misma célula depende de su impacto en el metabolismo celular y puede ser modulado tanto por variaciones en la función de diversos genes como por la acción de fármacos o alteración de la dieta de los animales. Todos estos factores determinan la preferencia del tipo de genoma mitocondrial seleccionado.
El estudio, resultado de más de cinco años de investigación y colaboraciones con diversos laboratorios de Europa, revela que la célula es capaz de reconocer y seleccionar de forma específica las mitocondrias con uno u otro ADN mitocondrial, lo que les otorga sutiles diferencias funcionales que las hacen más o menos eficientes para distintos tipos de células dependiendo de sus necesidades metabólicas. Esto explica que el ADN mitocondrial preferido sea diferente en diferentes tipos celulares.

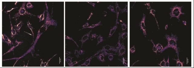
Imagen: Izquierda; células control que tienen únicamente ADN mitocondrial C57. Centro, células heteroplásmicas (tienen ADN mitocondrial de C57 y NZB coexistiendo en el citoplasma). Dcha; células heteroplásmicas tratadas con un fármaco (activador de PERK) que restaura la distribución y cantidad normal de mitocondrias.
“Con esta investigación se ha esclarecido que la selección del ADN mitocondrial depende del tipo celular y no del tipo de tejido, como se creía hasta el momento” señala la Dra. Ana Victoria Lechuga-Vieco, primera autora del artículo. “Además, la preferencia celular por un tipo de mitocondria depende del programa metabólico de la misma y de diversos genes nucleares que afectan de forma sutil el metabolismo y el control de calidad mitocondrial. Hemos descrito este mecanismo como un proceso de selección funcional”, aclara la investigadora del CNIC.
Las mitocondrias, orgánulos celulares presentes en el citoplasma de la mayoría de las células eucariotas, suministran la mayor parte de energía a la célula a través de la generación de ATP [trifosfato de adenosina (ATP), la principal fuente de energía de los seres vivos] en la cadena respiratoria. Estos orgánulos contienen su propio genoma, representan menos del 0,2% de la información genética celular del ser humano y codifican un total de 37 genes.
“La mezcla de variantes mitocondriales coexistiendo en una misma célula es más frecuente de lo esperado en el ser humano y puede ser provocada por nuevos tratamientos en enfermedades mitocondriales y nuevas tecnologías médicas relacionadas con la donación mitocondrial. Esta situación se denomina técnicamente heteroplasmia. Entender las implicaciones de la heteroplasmia es de vital importancia para evaluar la seguridad de los procedimientos que pueden causarla”, señala el Dr. Jose Antonio Enríquez.
En este nuevo estudio, subraya la Dr. Ana Latorre-Pellicer, coautora del trabajo y actualmente investigadora de la Universidad de Zaragoza, “hemos descrito por primera vez la presencia de más de una variante del genoma mitocondrial a nivel de célula, así como que la competición entre mitocondrias con distinto genoma a nivel intracelular”.
La investigación se ha realizado en modelos de ratón con distintos genomas mitocondriales coexistiendo en la misma célula. Este sistema permite entender cómo la célula puede advertir la presencia de más de un tipo de ADN mitocondrial y el estudio de la complejidad en la comunicación entre el núcleo y las mitocondrias.
Además, añaden los investigadores, el estudio ha definido dianas moleculares para desarrollar herramientas que modularían la selección del ADN mitocondrial y metabolismo celular como medio para prevenir la generación de heteroplasmia accidental derivada de nuevas tecnologías médicas, entre las que se encuentra el trasplante de mitocondrias sanas para prevenir enfermedades mitocondriales, la inyección de mitocondrias en ovocitos para incrementar la fertilidad, o la propuesta de transferir mitocondrias entre células como opción terapéutica en diversas patologías (cardiovasculares, pulmonares o nerviosas) utilizando técnicas de terapia celular.
El estudio ha contado con la financiación de The International Human Frontier Science Program Organization (HFSP RGP0016/2018) y en él han colaborado investigadores del Centro de Investigación Biomédica en Red de Fragilidad y Envejecimiento Saludable (CIBERFES), del Centro de Investigación Biomédica en Red de Enfermedades Respiratorias (CIBERES), de la Universidad de Zaragoza, del Instituto de Investigación Sanitaria Aragón (IISA), de la Universidad de Salamanca, de la Universidad de Bergen (Noruega), el MRC Human Immunology Unit, Weatherall Institute of Molecular Medicine de la Universidad de Oxford (Reino Unido),del IRCCS ICS-Universidad de Pavía (Italia), del Imperial College London, del Centro de Investigación Cooperativa en Biomateriales CIC biomaGUNE y de la Universidad Complutense de Madrid.