“En el momento en que se visibilizan las enfermedades raras, surge la investigación” 28.02.2020 Entrevista a Rubén Miranda García y Luis Miguel García Moreno, investigadores del Comportamiento de la Universidad Complutense de Madrid con motivo del Día Mundial de las Enfermedades Raras
El análisis paleobiológico de un fósil de renacuajo revela las causas de su muerte 28.02.2020 Descubrir fósiles de renacuajos es poco habitual, el de este estudio se encontró en excelente estado de conservación
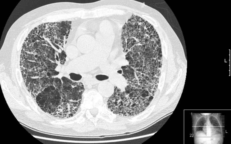
El aumento de peso en la edad adulta se relaciona con un mayor declive de la función pulmonar 28.02.2020 Con el paso de los años, la función pulmonar de las personas disminuye de forma natural
El satélite español Ingenio de observación de la Tierra se lanzará en junio 28.02.2020 Este nuevo satélite óptico, operado por el Instituto Nacional de Técnica Aeroespacial y proporcionará imágenes de alta resolución
Si confías en internet, eres vulnerable 27.02.2020 El exceso de confianza está detrás de muchos de los fraudes de los que somos víctimas a través de internet, a pesar de las medidas de seguridad que tomemos
Localizan nuevos marcadores para el diagnóstico y pronóstico del cáncer de pulmón 27.02.2020 Científicos españoles han identificado algunas regiones repetitivas que en todos los pacientes y en todos los tipos de cáncer de pulmón estudiados tienen el mismo comportamiento
Documentan una masacre de hace 7.300 años en una cueva de Aragón 27.02.2020 Un trabajo internacional revela los detalles de un caso de extrema violencia contra cinco adultos y cuatro niños ocurrido en el Neolítico antiguo al interior de una cueva de la Alta Ribagorza aragonesa
¿Peces en el Sáhara? Sí, hace miles de años en el Holoceno 27.02.2020 Un estudio proporciona información crucial sobre los dramáticos cambios climáticos que condujeron a la formación del mayor desierto caliente del mundo
La falta de ejercicio vigoroso, más importante que el tiempo sedentario para la fragilidad 27.02.2020 Los niveles más bajos de actividad física moderada-vigorosa predicen el desarrollo de mayor fragilidad en las personas mayores
Los cuerpos sólidos del universo se originaron por agregación de motas de polvo porosas de pocos milímetros 27.02.2020 Científicos del Instituto de Astrofísica de Andalucía del CSIC han mostrado por primera vez los rasgos de las partículas que forman el núcleo de un cometa