05.11.2020
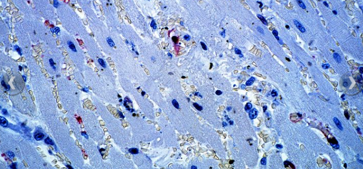
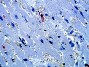
Saber cuánto se reproducen las células tumorales en el pasado para predecir el crecimiento futuro del cáncer y la progresión clínica de los pacientes, es el objetivo de un nuevo estudio liderado por expertos del Hospital Clínic y el IDIBAPS