Skip to main content
Home
  • ESPAÑOL
  • ENGLISH
Main menu
  • Foundation
    • A place for education, science and innovation
    • Who we are
    • Newsroom
    • Awards madri+d
    • Publications madri+d
    • Contractor Portal
    • Compendio legislativo
    • Formación
    • Hackathon #VenceAlVirus
    • Consulta Previa al Mercado
    • Contacto
  • University Quality Assurance
    • To guarantee the quality of university education in the Community of Madrid
    • About us
    • Evaluation, Acreditation and Verification
    • Evaluación, Acreditación y Verificación de Centros Universitarios
    • Comité de garantías y reclamaciones
    • Buscador de títulos
    • Banco de evaluadores
    • ENQA Evaluation
    • Análisis Temático
    • CUALIFICAM
    • Sello Sofía
    • Buzón de Quejas, Sugerencias y Felicitaciones
  • Entrepreneurs
    • We help you to undertake from science and technology
    • About us
    • Startup Radar madri+d
    • BAN madri+d
    • Madri+d Mentoring Network
    • ESA BIC Madrid Region
    • healthStart madri+d
    • Business Mentor madri+d
    • Studies
    • healthstartPlus
    • Deeptech Madrid
    • Govtechlab Madrid
    • Innodays/Innobares
  • CITT
    • Clústeres público-privados de Innovación Tecnológica y Talento de la Comunidad de Madrid
    • Presentación CITT
    • CITT en Semiconductores
    • CITT en Humanidades Digitales y Tecnologías del Español
    • CITT en Tecnologías Biomédicas y Biotecnología
    • CITT en Tecnologías del Espacio
  • Europe
    • Researching locally to compete globally
    • Presentación
    • Horizonte Europa
    • Marie Sklodowska-Curie Actions
    • European Research Council
    • EIC
    • EEN SCALEUP 2025/2026
    • Enterprise Europe Network
    • Innovación
    • madri+d Foundation Projects
  • Scientific-Culture
    • Promoting scientific culture and innovation in society through active participation
    • Presentación
    • Feria Madrid es Ciencia
    • Día Internacional de las Mujeres y las Niñas en la Ciencia
    • Madrid Science Week
    • European Researchers' Night
    • Red de Laboratorios Ciudadanos
    • Wikipedia madri+d
    • Science & Culture
    • Science & Heritage
  • Impulso SMUCI
    • Oficina de Impulso del Sistema Madrileño de Universidades, Ciencia e Innovación (SMUCI)
    • Presentación Impulso SMUCI
    • UnInMadrid
    • Ciencia de excelencia
    • Unidad de apoyo a estudiantes universitarios e investigadores ucranianos
    • Cátedra del Español y la Hispanidad de las universidades de la Comunidad de Madrid
  • Notiweb
    • El resumen de noticias de I+D+I de referencia en español
    • Portada
    • Noticias
    • Analisis
    • Entrevistas
    • Blogs
    • Agenda
    • Reseñas
    • Magazine
    • Hemeroteca Magazine
    • Mentes Críticas
    • Hemeroteca Mentes Críticas
  • Transparency
    • Transparency portal
    • Institutional information
    • Legal Information
    • Economic and Statistical Information
    • Proteccion de Datos Personales
    • Canal Ético

Secondary breadcrumb

Breadcrumb

  1. Inicio
  2. Noticias
Main menu
Noticias RSS

¿Somos unos ‘e-pócritas’ del cambio climático?

28.05.2020
La contaminación provocada por las tecnologías de la información y de la comunicación (TIC) ronda el 4 % del total de las emisiones mundiales de gases de efecto invernadero

¿Qué grados universitarios tienen mayor salida laboral?

28.05.2020
Los alumnos que estudiaron ADE, Educación y Economía son los que tienen mayores tasas de empleo, según un ránking de la Fundación Cyd

Una luz que no debería existir rige la superconductividad

27.05.2020
La superconductividad no solo es una onda que sigue la ecuación de Schrödinger, sino que la supercorriente es provocada por un estado de luz prohibida

Científicos logran predecir la eficacia de las vacunas frente a la malaria

27.05.2020
Un nuevo estudio sugiere que la eficacia de las vacunas podría aumentarse estimulando el sistema inmune antes de la inmunización frente a la malaria

La vitamina D, el mejor aliado para evitar la aparición de la Enfermedad Celiaca

27.05.2020
Hoy se celebra el Día Nacional del Celiaco, para dar visibilidad a un colectivo que supone el 1% de la población

Las baterías de nueva generación podrían ser de magnesio

27.05.2020
El magnesio es más abundante que el litio, por lo que estas baterías serían más baratas, y parece que más seguras

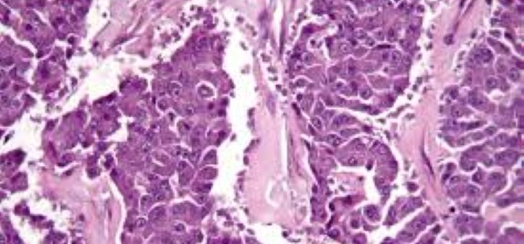
Una combinación de inmunoterapia y quimioterapia muestra eficacia contra el cáncer de páncreas por primera vez

27.05.2020
Hospitales españoles participan en un estudio multicéntrico que registra resultados prometedores contra el cáncer de páncreas, para el que hay pocos tratamientos y cuya incidencia crece

Venus pudo albergar vida durante más de 3.000 millones de años

27.05.2020
Un nuevo estudio halla evidencias de que el planeta hermano de la Tierra tuvo océanos y clima templado durante la mayor parte de su historia

Algunos animales pueden identificar el ritmo musical

27.05.2020
Un grupo de científicos ha explorado las bases biológicas de la música en roedores

Nuevo mecanismo de resonancia para sistemas con retardo

27.05.2020
Físicos de la URJC han caracterizado un novedoso fenómeno que se produce en los osciladores no lineales que se conoce como resonancia inducida por retardo

Pagination

  • First page « primera
  • Previous page ‹ anterior
  • …
  • Page 618
  • Page 619
  • Page 620
  • Page 621
  • Current page 622
  • Page 623
  • Page 624
  • Page 625
  • Page 626
  • …
  • Next page siguiente ›
  • Last page última »
Resultados del 6211 al 6220 de 13184
  • Foundation
    • Who we are
    • Newsroom
    • Awards madri+d
    • Publications madri+d
    • Contractor Portal
    • Compendio legislativo
    • Formación
    • Hackathon #VenceAlVirus
    • Consulta Previa al Mercado
    • Contacto
  • University Quality Assurance
    • About us
    • Evaluation, Acreditation and Verification
    • Evaluación, Acreditación y Verificación de Centros Universitarios
    • Comité de garantías y reclamaciones
    • Buscador de títulos
    • Banco de evaluadores
    • ENQA Evaluation
    • Análisis Temático
    • CUALIFICAM
    • Sello Sofía
    • Buzón de Quejas, Sugerencias y Felicitaciones
  • Entrepreneurs
    • About us
    • Startup Radar madri+d
    • BAN madri+d
    • Madri+d Mentoring Network
    • ESA BIC Madrid Region
    • healthStart madri+d
    • Business Mentor madri+d
    • Studies
    • healthstartPlus
    • Deeptech Madrid
    • Govtechlab Madrid
    • Innodays/Innobares
  • CITT
    • Presentación CITT
    • CITT en Semiconductores
    • CITT en Humanidades Digitales y Tecnologías del Español
    • CITT en Tecnologías Biomédicas y Biotecnología
    • CITT en Tecnologías del Espacio
  • Europe
    • Presentación
    • Horizonte Europa
    • Marie Sklodowska-Curie Actions
    • European Research Council
    • EIC
    • Enterprise Europe Network
    • EEN SCALEUP 2025/2026
    • Innovación
    • madri+d Foundation Projects
  • Scientific-Culture
    • Presentación
    • Feria Madrid es Ciencia
    • Día Internacional de las Mujeres y las Niñas en la Ciencia
    • Madrid Science Week
    • European Researchers' Night
    • Red de Laboratorios Ciudadanos
    • Wikipedia madri+d
    • Science & Culture
    • Science & Heritage
  • Impulso SMUCI
    • Presentación Impulso SMUCI
    • UnInMadrid
    • Ciencia de excelencia
    • Unidad de apoyo a estudiantes universitarios e investigadores ucranianos
    • Cátedra del Español y la Hispanidad de las universidades de la Comunidad de Madrid
  • Notiweb
    • Portada
    • Noticias
    • Analisis
    • Entrevistas
    • Blogs
    • Agenda
    • Reseñas
    • Magazine
    • Hemeroteca Magazine
    • Mentes Críticas
    • Hemeroteca Mentes Críticas
  • Transparency
    • Institutional information
    • Legal Information
    • Economic and Statistical Information
    • Proteccion de Datos Personales
    • Canal Ético
  • Footer
    • Canal Ético
    • eduroam
    • Mapa Web
    • Política privacidad
    • Política de cookies
    • Aviso legal